Trám răng thẩm mỹ
II. Trám răng có đau không?
Những trường hợp răng bị sứt mẻ nhỏ, có khe hở hoặc răng thưa thì quá trình trám răng có thể được thực hiện dễ dàng và nhanh chóng. Khách hàng hoàn toàn không cảm thấy đau nhức hoặc khó chịu trong quá trình thực hiện và sau khi thực hiện xong.
Trường hợp trám răng sâu nặng hoặc răng bị mẻ mảng lớn, ảnh hưởng đến tủy răng. Nha sĩ cần tiến hành nạo sạch phần răng bị sâu để hạn chế sâu răng thứ phát, quá trình thực hiện đòi hỏi trình độ chuyên môn cao và thời gian thực hiện kéo dài nên người bệnh có thể sẽ cảm thấy hơi ê buốt và đau nhức. Tuy nhiên, bác sĩ sẽ gây tê trong quá trình thực hiện nên cảm giác đau sẽ không kéo dài quá lâu.
III. Các trường hợp cần trám răng.
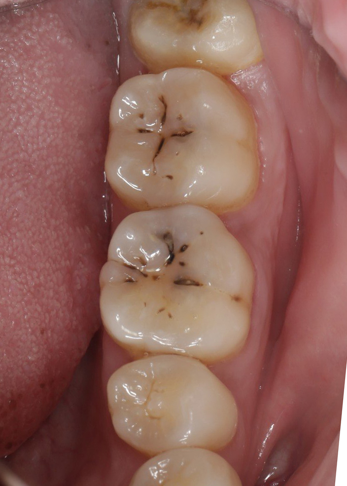
1. Khi răng bị sâu
Trám răng sâu là một kỹ thuật nha khoa thường được áp dụng trong điều trị sâu răng để hạn chế gây tổn thương nghiêm trọng đến cấu trúc răng. Sâu răng là tình trạng răng xuất hiện các lỗ hổng có màu đen, tại vị trí gây đau buốt, nhức và có mùi hôi. Nguyên nhân sâu răng là do bạn ăn những thực phẩm có đường và không vệ sinh răng miệng sạch sẽ, đúng cách khiến cho vi khuẩn phát triển và ăn mòn bề mặt răng, tạo ra các lỗ sâu. Các lỗ sâu này nếu không được điều trị sớm sẽ phá huỷ mô răng và lan rộng dần, dẫn đến nhiễm trùng và rụng răng. Trám răng sâu giúp bịt kín lỗ sâu không cho vi khuẩn xâm nhập, loại bỏ tình trạng sâu răng và ngăn ngừa sâu răng trở lại.
Trong quá trình trám răng, nha sĩ sẽ tiến hành làm sạch và loại bỏ phần bị sâu răng. Sau đó, vùng bị hư hỏng sẽ được trám bằng vật liệu nhân tạo để làm đầy mô răng bị mất, ngăn chặn sâu răng lan đến tủy và các răng xung quanh các răng xung quanh bảo vệ răng khỏi tổn thương.

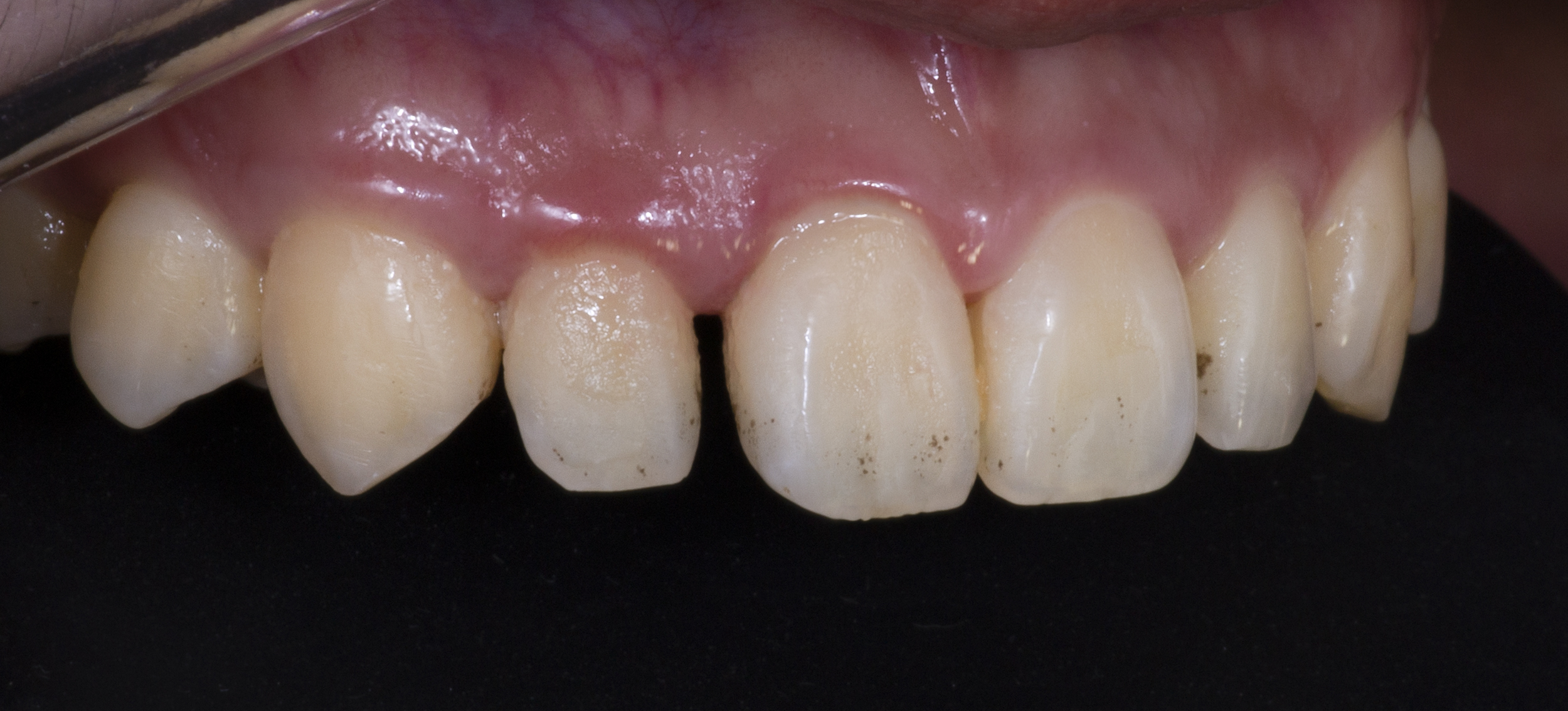
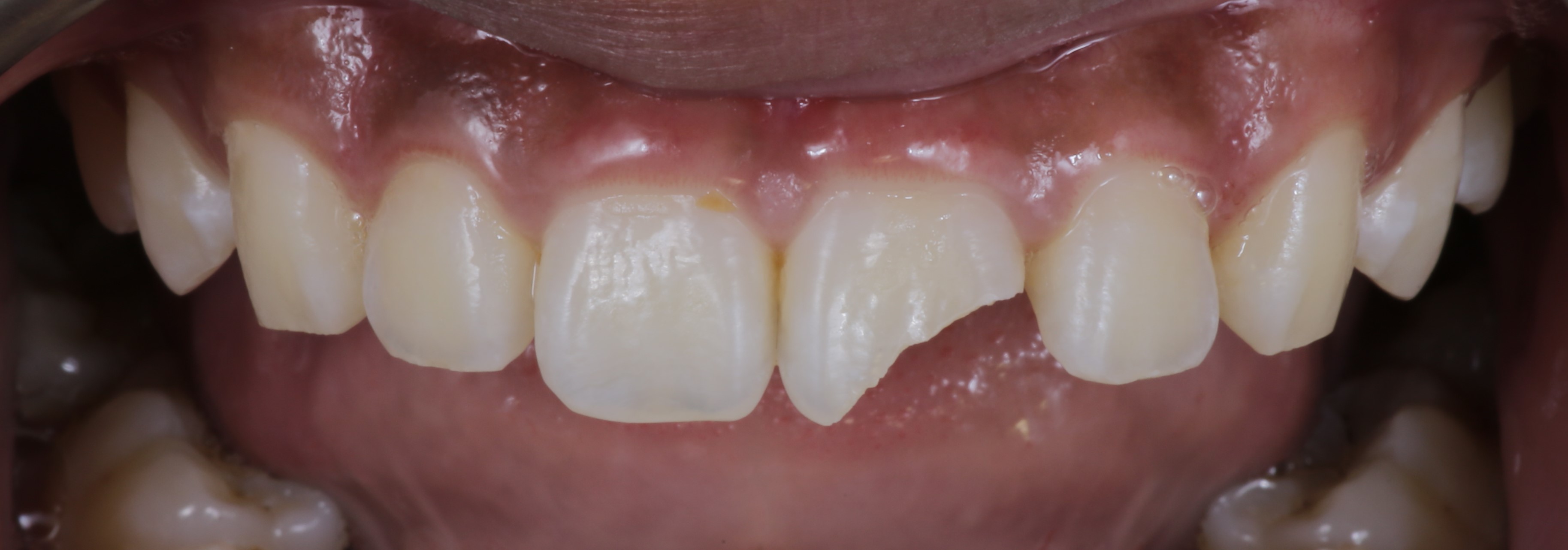
2. Trám răng bị mẻ
Trám răng mẻ được thực hiện khi một phần nhỏ của răng bị mẻ do chấn thương thể thao, tai nạn,... Trong trường hợp này, việc trám răng thẩm mỹ được sử dụng để khôi phục lại thẩm mỹ và chức năng nhai của răng.
3. Trám răng thưa
Người bị răng thưa do kích thước răng không đồng đều, thói quen nhai, cắn không đúng cách,... sẽ được bác sĩ đề nghị thực hiện trám răng thẩm mỹ đóng khe thưa. Trám răng thẩm mỹ đóng khe thưa giúp điều chỉnh và lấp đầy khoảng trống giữa các răng, tạo ra một hàm răng đẹp và đều đặn hơn.
Phương pháp trám răng thưa thường được áp dụng cho trường hợp răng hở khoảng nhỏ. Với những trường hợp răng thưa có khoảng hở lớn hơn nếu trám răng sẽ gây mất cân đối, nha sĩ sẽ đề xuất bạn thực hiện niềng răng hoặc bọc răng sứ.

4. Trám răng thay thế miếng trám cũ.
Trong trường hợp miếng trám cũ trên răng bị hỏng, mòn không còn bám chặt vào răng hoặc bằng vật liệu quá cũ ( amalgam) không còn an toàn và thẩm mỹ, bác sĩ có thể thực hiện quá trình trám răng để thay thế miếng trám cũ. Quá trình này có thể được gọi là trám răng thay thế hoặc trám lại.
Khi trám răng thay thế miếng trám cũ, nha sĩ sẽ loại bỏ hoặc lấy đi miếng trám cũ và vệ sinh vị trí trám cũng như vùng xung quanh để miếng trám mới có thể bám chắc hơn. Sau đó, vật liệu trám mới, chẳng hạn như composite, sẽ được áp dụng lên bề mặt răng để hoàn thiện chức năng và thẩm mỹ cho răng.
IV. Các vật liệu trám răng thông dụng hiện nay.
1. Composite
Trám răng bằng vật liệu composite là phương pháp được sử dụng nhiều trong những năm gần đây. Ưu điểm của loại vật liệu này là thẩm mỹ tốt, khó phát hiện có trám răng vì màu miếng trám giống với màu răng tự nhiên, chịu lực khá tốt, không gây độc hại cho cơ thể và quy trình làm khá nhanh chóng. Nhược điểm là thời gian sử dụng khoảng 5 năm, không bền như amalgam, miếng trám có thể đổi màu sậm hơn sau một thời gian sử dụng.
2. GIC ( Glass Ionomer Cement )
Chất liệu GIC (Glass Ionomer Cement) thường làm từ vật liệu polyacrylic axit và một thành phần của thủy tinh có tên gọi là fluoroaluminosilicate. Trong GIC có chứa chất fluor giúp ngăn chặn tình trạng sâu răng trở nên nặng hơn. Vật liệu GIC thường gắn rất chặt vào răng và giảm thiểu tình trạng nứt ở chỗ vết trám. Nhược điểm là màu sắc không giống màu răng tự nhiên như vật liệu composite.
3. Sứ
Hiện nay, một phương pháp điều trị trám răng kỹ thuật số rất phổ biến giúp sửa chữa các răng bị sâu, vỡ mẻ có tên gọi là Inlay/Onlay. Quy trình thực hiện phương pháp này có các bước tương tự với trám răng truyền thống. Điểm khác biệt là bước lấy dấu để chế tạo miếng sứ và gắn miếng sứ đó vào răng vì vậy thời gian điều trị Inlay, Onlay sẽ tăng lên 2 lần hẹn, mỗi lần 30-45 phút. Trong lần điều trị đầu, sau khi răng được làm sạch, bác sĩ sẽ lấy dấu răng để tạo hình miếng trám theo đúng hình dạng và kích thước lỗ sâu. Dấu sau khi lấy sẽ được Kỹ thuật viên chế tạo miếng Inlay – Onlay vừa khít với xoang răng đã chuẩn bị. Sau đó trong buổi hẹn tiếp theo sẽ mất khoảng 30-45 phút để gắn miếng Inlay hoặc Onlay lên xoang trám đã tạo.

V. Quy trình thực hiện trám răng thẩm mỹ.
Bước 1: Thăm khám và chẩn đoán
Bước đầu tiên bác sĩ sẽ kiểm tra răng của bạn, xác định vấn đề như sâu răng, mảng bám và đánh giá mức độ hư hỏng của răng để quyết định liệu trám răng có phù hợp hay không và vật liệu trám răng sẽ dùng
Bước 2: Làm sạch xoang trám, tạo hình xoang trám và làm nhám
Bác sĩ sẽ tiến hành làm sạch xoang cần trám để thuận lợi cho quá trình trám răng. Đối với răng sâu cần phải làm sạch lỗ sâu, loại bỏ hết các phần răng bị hư để hạn chế sâu răng quay trở lại. Nếu răng sâu lớn, trong quá trình lấy mô sâu răng bạn cảm thấy ê buốt nhiều, bác sĩ sẽ tiến hành gây tê để làm tê liệt khu vực xung quanh răng giúp người bệnh không cảm thấy đau trong quá trình trám.
Sau khi làm sạch răng, nha sĩ sẽ tiến hành tạo hình xoang trám phù hợp với lỗ sâu để cố định, hạn chế xê dịch và bong tróc miếng trám. Thông thường, nha sĩ sẽ sử dụng chất axit photphoric để soi mòn bề mặt men răng tạo ra một bề mặt nhám, giúp miếng trám dính chặt hơn vào răng.
Bước 3: Thực hiện trám răng bằng vật liệu trám
Nha sĩ sẽ chọn vật liệu trám phù hợp như composite . Vật liệu trám sẽ được lấp đầy vào vùng xoang trám đã tạo và tạo hình để phù hợp với cấu trúc răng và hình dáng tự nhiên. Bác sĩ cũng sẽ đảm bảo rằng màu sắc của miếng trám phù hợp với màu tự nhiên của răng để có kết quả thẩm mỹ tốt nhất.
Bước 4: Kiểm tra khớp cắn và đánh bóng.
Sau khi trám, bác sĩ sẽ kiểm tra lại khớp cắn xem bạn có bị cộm vướng hay không và điều chỉnh nếu cần để đảm bảo miếng trám vừa vặn và không gây khó chịu cho bệnh nhân. Sau đó, bác sĩ sẽ đánh bóng răng để tạo ra bề mặt sáng, bóng.
VI. Những điều cần lưu ý và cách chăm sóc răng sau khi trám
-
Tránh ăn nhai ngay sau khi trám: Trong vòng ít nhất 2 giờ sau khi trám răng, hạn chế việc ăn nhai thức ăn để vật liệu trám có thời gian ổn định lại.
-
Hạn chế tiếp xúc với thức ăn quá nóng và quá lạnh: Trong vài giờ đầu sau khi trám răng, tránh tiếp xúc với thức ăn hoặc đồ uống quá nóng/lạnh, vì vật liệu trám có thể còn nhạy cảm và gây khó chịu.
-
Tránh nhai các thức ăn cứng: Trong vài ngày sau khi trám răng, hạn chế nhai các thức ăn cứng. Điều này giúp tránh tạo áp lực lên miếng trám mới và đảm bảo nó không bị vỡ.
-
Hạn chế các thức ăn và đồ uống gây đổi màu: Sau khi trám răng, hạn chế tiếp xúc với các thức ăn và đồ uống sẫm màu có thể gây ố vàng răng, như cà phê, trà, rượu vang đỏ và thuốc lá. Điều này giúp tránh tình trạng miếng trám bị nhuộm màu và mất thẩm mỹ.
-
Vệ sinh răng miệng đúng cách: Đánh răng đều đặn ít nhất 2 lần/ngày, kết hợp sử dụng kem đánh răng chứa fluoride, chỉ nha khoa và nước súc miệng chứa chất khử trùng. Vệ sinh răng miệng thường xuyên giúp ngăn ngừa mảng bám và sâu răng tái phát.
-
Kiểm tra nha khoa định kỳ: Hãy đến nha khoa để vệ sinh và kiểm tra răng miệng 6 tháng/lần. Điều này giúp phát hiện sớm các vấn đề răng miệng và đảm bảo miếng trám duy trì hiệu quả trong thời gian dài.
VII. Chi phí trám răng thẩm mỹ hết bao nhiêu tiền?Số tiền bạn cần chi trả cho 1 chiếc răng cần trám sẽ trong khoảng từ 300.000 – 3.000.000 VND/răng. Tiền trám răng sẽ phụ thuộc vào loại trám bạn làm là gì. Để biết chính xác, bạn cần đến gặp bác sĩ, sau khi kiểm tra tình trạng bác sĩ sẽ báo phí chi tiết.

