Niềng răng mắc cài
I. Niềng răng – phương pháp điều trị triệt để các sai lệch răng
2. Niềng răng có thể điều trị các sai lệch răng nào?
Niềng răng được các bác sĩ nha khoa hàng đầu đánh giá là phương pháp điều trị hiệu quả, an toàn và văn minh nhất nhất cho những trường hợp có sai lệch răng mặt như:
- Răng móm.
- Răng thưa..
- Răng chen chúc khấp khểnh.
- Răng cắn hở, cắn sâu.
- Răng ngầm, thiếu răng.
II. Có nên lựa chọn niềng răng bằng mắc cài?
Tuy nhiên, niềng răng mắc cài mặt ngoài vẫn là phương pháp niềng răng được đánh giá cao nhất về kết quả và thời gian điều trị, đặc biệt trong trường hợp răng khấp khểnh, hô, móm. Đặc biệt ở nha khoa Tiến Đức, phương pháp niềng răng mắc cài theo triết lý Bioprogressive – Geaw – Meaw đem lại hiệu quả cam kết thành công 100%. Đây cũng là phương pháp niềng răng được 90% khách hàng của nha khoa Tiến Đức lựa chọn với những ưu điểm vượt trội:
Niềng răng mắc cài giúp nắn chỉnh răng bằng cách sử dụng mắc cài kim loại và dây cung. Dây cung kim loại sẽ tác động lực lên mắc cài và răng làm dịch chuyển răng về vị trí mong muốn. Các loại thun, lò xo và các cơ học di chuyển răng được sử dụng để tác động lực lên răng một lực nhẹ và liên tục để răng di chuyển về vị trí mong muốn. Quá trình niềng răng là một quá trình tác động liên tục lực lên răng giúp kéo răng về vị trí mong muốn một cách từ từ. Do đó răng sẽ di chuyển nhanh chóng khi sử dụng niềng răng mắc cài, từ đó có thể rút ngắn thời gian điều trị so với các phương pháp niềng răng khác.
Ưu điểm 2: Niềng răng mắc cài mang lại kết quả điều trị hiệu quả và ổn định.
Niềng răng bằng mắc cài không những giúp di chuyển răng mà còn có thể điều chỉnh được cả chân răng và xương ổ răng. Vì thế, phương pháp này sẽ giúp bác sĩ kiểm soát tốt nhất các di chuyển của răng. Đồng thời, kết quả điều trị niềng răng vững ổn lâu dài và gần như không tái phát.
Ưu điểm 3: Niềng răng mắc cài có chi phí điều trị hợp lý nhất.
Trong các phương pháp niềng răng tiên tiến hiệu quả, thì niềng răng bằng mắc cài mặt ngoài có chi phí thấp nhất, các khí cụ đi kèm khi điều trị cũng có mức giá hợp lí hơn các phương pháp khác.
Ưu điểm 4: Mắc cài có nhiều kiểu dáng đa dạng:
Hiện nay có nhiều loại mắc cài để cho khách hàng lựa chọn như: mắc cài kim loại có chi phí điều trị hợp lý hoặc mắc cài sứ giúp tăng tính thẩm mỹ:
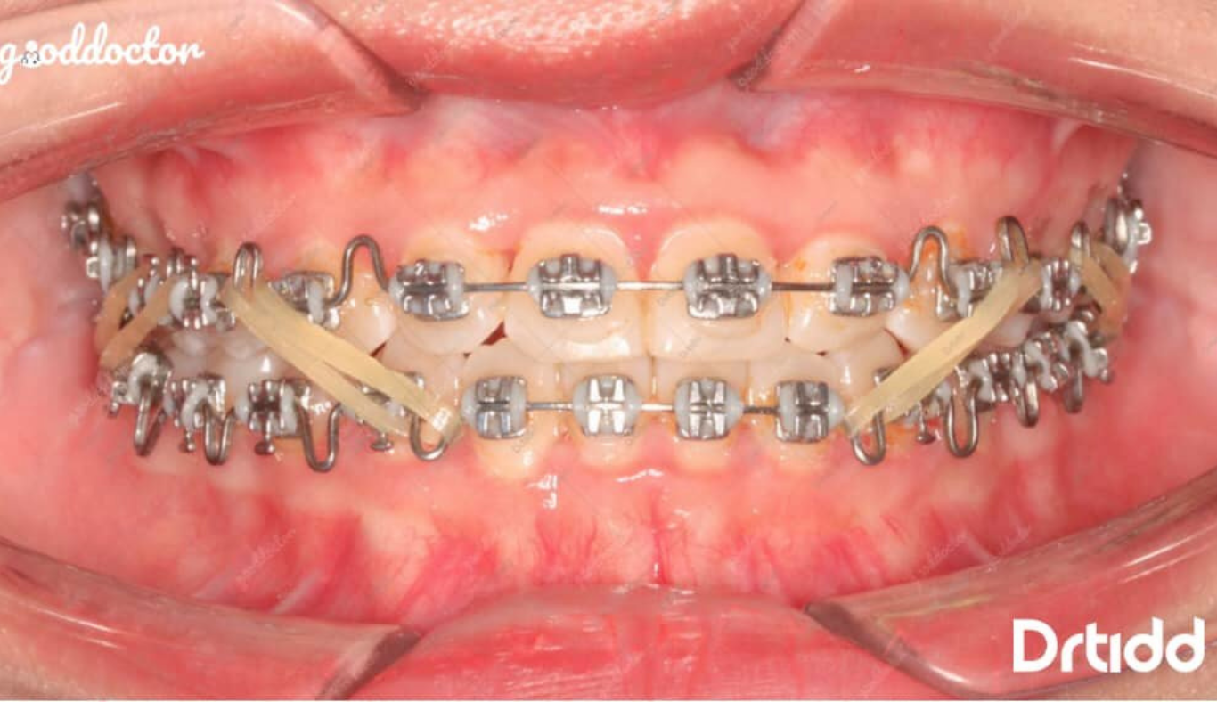
Mắc cài bằng kim loại:
Dòng mắc cài này có độ bền cao, chịu được lực kéo lớn, không dễ bị bung vỡ trong khi niềng chỉnh và tăng lực. Chất liệu thường làm bằng thép dùng trong y tế, kết hợp cùng dây cung và thun hoặc chỉ thép. Chính vì vậy lúc mới mang loại mắc cài này, bạn sẽ có cảm giác hơi khó chịu, phải tập luyện để quen dần.

Ưu điểm:
- Chi phí rẻ nhất trong số các loại mắc cài
- Thời gian hàm răng chỉnh đúng vị trí nhanh hơn.
- Thun buộc có nhiều màu sắc cho khách hàng cá tính
Nhược điểm:
- Tính thẩm mỹ thấp hơn so với những loại khác.
- Mắc cài bằng sứ:
Niềng răng mắc cài sứ được gắn trên mặt ngoài của răng giống như mắc cài kim loại, mắc cài sứ sẽ khó nhìn thấy được khi nhìn từ xa và người khác sẽ khó nhận ra là bạn đang đeo chúng.
Cũng giống như mắc cài kim loại, mắc cài sứ cũng dùng dây thun và dây cung bằng kim loại đàn hồi để di chuyển răng

Ưu điểm:
- Vật iệu làm sứ có độ trong suốt cao nên đảm bảo tính thẩm mỹ khi giao ltiếp hơn mắc cài kim loại
Nhược điểm:
- Chi phí đắt hơn so với niềng răng bằng kim loại.
- Cánh mắc cài của mắc cài sứ dể bị vỡ hơn so với mắc cài kim loại, gây ảnh hưởng đến quá trình niềng răng
III. Chính sách niềng răng trả góp 0% tại Nha khoa Tiến Đức
• Chỉ cần trả trước 25% tổng chi phí
• Trả góp 3 triệu/tháng trong các tháng tiếp theo
• Chi phí gói chỉnh nha đã bao gồm các dịch vụ đi kèm như: Chỉnh nha, Xquang( trước, trong và sau điều trị), vệ sinh răng miệng hàng tháng, nhổ răng ( kể cả răng số 8), hàm duy trì sau chỉnh nha.
IV. Nha khoa Tiến Đức – Trung tâm niềng răng uy tín nhất khu vực
1. Liệu trình điều trị cá nhân hóa, rút ngắn thời gian điều trị



3. Hợp đồng cam kết rõ ràng











